CopyRight © 2025 CZSZXYY.com All Right Reserved.
通信地址┃河北省沧州市新华西路16号
冀ICP备15027098号
 冀公网安备 13090302000146号
冀公网安备 13090302000146号
				
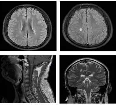
病例一  小崔是一个身强力壮的大四学生,即将离开校园步入社会,一天早上起床感觉头晕,伴有恶心和呕吐,自觉四肢麻木,看东西出现双影,第二天出现走路不稳,在家人的陪同下去了当地县医院,诊断“前庭神经炎”,输液治疗,症状没有明显好转。小崔的母亲非常着急,带着小崔来到沧州市中心医院神经免疫、中枢神经系统感染二科就诊,刘洁琼主任团队通过详细地询问病史、查体,对患者进行了腰椎穿刺显示寡克隆区带(+),头颈胸部增强核磁共振显示大脑和脑干多发异常信号,再次追问病史,小崔入院前4月余曾有右侧肢体麻木,未予重视,自行好转,判断小崔所患的疾病是复发缓解型多发性硬化,立即给予患者激素冲击治疗,数天后小崔症状完全缓解。为了防止疾病再次复发对小崔日后的生活和工作造成影响,刘洁琼主任结合国际最新研究成果及指南,给予患者生物制剂皮下注射,患者目前无不良反应,已经进入工作岗位开始了新生活。   病例二 张女士两年前生孩子后出现右眼视物模糊,就诊于当地医院诊断为视神经炎,一直服用免疫抑制剂治疗。半月前的一天张女士感觉背部发麻,以为着凉,未予重视,后来张女士又出现了双下肢麻木无力、走路不稳,同时自觉排尿、排便费力,张女士的家人马上意识到了问题的严重性,赶紧带着张女士就诊于沧州市中心医院急诊入住脊髓外科。患者症状进行性加重,起初尚能行走,短短两天已进展至卧床状态,下肢抬起困难,身体麻木感也发展到胸部及以下,完善脊髓核磁扫描显示脊髓长节段异常信号伴肿胀,考虑中枢神经系统脱髓鞘病,遂转往医院神经免疫、中枢神经系统感染二科,刘洁琼主任团队细致询问病史、查体,并进行腰椎穿刺显示水通道蛋白4抗体(+),判断张女士所患疾病为视神经脊髓炎谱系疾病,立即给予激素冲击治疗,数天后张女士的症状逐渐恢复正常。 视神经脊髓炎谱系疾病是由水通道蛋白4抗体介导的中枢神经系统脱髓鞘疾病,主要表现为反复发作的视神经炎和横贯性脊髓炎,90%以上为多时相病程,其中40-60%在1年内复发,约90%在3年内复发,任何一次临床发作均有可能带来不可逆性损伤,因此,视神经脊髓炎谱系疾病一经诊断后应尽早开始序贯治疗并坚持长程规律预防。 病例三 小魏是个14岁的初中生,一天“感冒”后出现发热,体温在37.5-37.7℃之间,口服退热药后坚持上学。“感冒”两天后的清晨,小魏吃完早饭准备去上学,突然出现四肢抽搐伴意识不清,伴舌咬伤,持续数分钟后抽搐好转,但仍意识模糊,躁动不安,这可吓坏了小魏的父母,赶紧带着孩子来到了沧州市中心医院神经免疫、中枢神经系统感染二科,刘洁琼主任详细查看病人后立即进行头颅CT、抽血化验和腰椎穿刺术,脑脊液结果显示MOG抗体(+),判断小魏是MOG抗体相关性脑炎,经过治疗小魏第二日神智转清,半月后好转出院,重归课堂。 神经免疫、中枢神经系统感染二科 沧州市中心医院神经内科医学中心神经免疫、中枢神经系统感染二科是国家临床重点专科创建单位、河北省临床重点建设专科、沧州市临床重点学科,是中国罕见病联盟脑炎base数据库成员单位,是国家区域医疗中心河北省神经免疫疾病联盟成员单位,致力于中枢神经系统自身免疫性疾病和感染性疾病的医疗、教学、科研、预防、保健和康复工作。拥有一支经验丰富、技术精湛、业务素质过硬的专业技术队伍,现有硕士生导师1名,主任医师1名、副主任医师1名、主治医师2名,博士研究生1名,硕士研究生4名。科室立足国际视野,为神经免疫和中枢神经系统感染性疾病患者提供最先进的诊疗理念。科室病房在十楼东区,门诊在脑科医院二楼2诊室,刘洁琼主任每周二、四出诊,黄秋海主任每周六、日出诊。科室全体医护人员将锐意进取、奋楫笃行,用精湛医术和人文关怀为广大患者提供一流的服务。 科室诊疗范围: 1.以临床孤立综合症、多发性硬化、脊髓炎、视神经脊髓炎谱系疾病、急性播散性脑脊髓炎、同心圆硬化、瘤样炎性脱髓鞘病等为代表的中枢神经系统炎性脱髓鞘性疾病。 2.脑桥中央髓鞘溶解症、脑桥外髓鞘溶解症、脑白质营养不良。 3.各种感染性脑炎、脑膜炎,包括病毒性脑炎/脑膜炎,化脓性脑膜炎、结核性脑膜炎、真菌性脑膜炎、朊蛋白病、脑囊虫病、神经梅毒等。 4.自身免疫性脑炎和小脑炎,包括抗NMDA受体抗体、抗LG1抗体、抗GABA受体抗体等脑炎。 5.中枢神经系统血管炎 6.重症肌无力 7.神经系统副肿瘤综合症 8.其他中枢神经系统与自身免疫相关的疾病和疑难杂症 科室特色技术项目: 1、神经免疫亚专业:为神经系统免疫性疾病患者提供全面个体化的治疗方案,包括急性期激素冲击、血浆置换、免疫吸附、丙种球蛋白治疗和缓解期的免疫抑制治疗,以及多发性硬化的免疫修正治疗,与胸外科合作进行重症肌无力患者经胸腔镜微创胸腺摘除术,与神经外科合作为疑难患者开展立体定向脑活检手术。 2、中枢神经系统感染亚专业:开展脑脊液细胞学、病原微生物二代测序技术为中枢神经系统感染患者提供精准的诊断和治疗。科室为患者建立档案,开设专病随访门诊,定期进行临床和影像学的随访。建立微信平台,为患者提供专业的健康指导和便捷的随访路径。 刘洁琼 沧州市中心医院神经免疫、中枢神经系统感染二科副主任(主持工作),医学博士,副主任医师,硕士生导师,河北医科大学学报审稿专家,医学参考报通讯编委,北京大学访问学者。中国研究型医院学会头痛与感觉障碍专业委员会委员,北京神经内科学会(BNA)神经感染与免疫专委会委员,河北省医学会神经病学分会头面痛学组委员,沧州市女医师协会神经内科专业委员会常务委员兼秘书。获河北医学科技奖一等奖一项,二等奖一项,沧州市科技进步奖三等奖一项,发表SCI论文和国内核心期刊论文二十余篇。擅长多发性硬化、视神经脊髓炎谱系疾病、重症肌无力、自身免疫性脑炎、各种脑炎和脑膜炎、中枢神经系统血管炎、脊髓病变及各种中枢神经系统疑难杂症的诊治。





 冀公网安备 13090302000146号
冀公网安备 13090302000146号