CopyRight © 2025 CZSZXYY.com All Right Reserved.
通信地址┃河北省沧州市新华西路16号
冀ICP备15027098号
 冀公网安备 13090302000146号
冀公网安备 13090302000146号
				
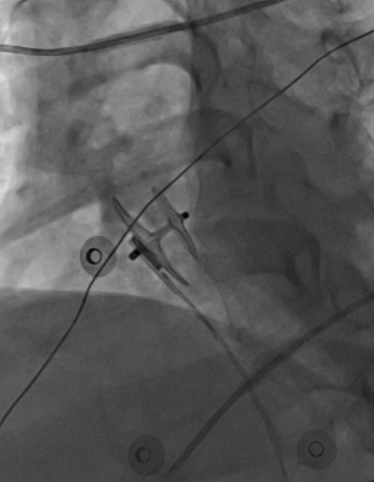
近日,沧州市中心医院心血管内五科为一名卵圆孔未闭(PFO)合并有脊柱侧弯和后突畸形的患者成功进行了卵圆孔未闭介入封堵术,这是沧州市首例心腔内超声(ICE)引导下完成的PFO封堵术。

该患者有多年的头痛病史,经神经内科筛查考虑为PFO,并经过规范药物治疗,效果不明显,来PFO专病门诊找到医院心血管内五科副主任牛和平,经过仔细询问病史,查看相关检查结果,诊断PFO明确,考虑患者有介入封堵的指征,而后收入院。但患者患有先天脊柱侧弯及后突,血管及心脏结构有明显转位,常规超声并不能完全准确引导介入操作,为介入手术带来极大的困难和风险。医院副院长、心血管内五科主任张军教授,副主任牛和平,副主任付金国,副主任医师王磊,主治医师于恺等反复讨论,决定实施ICE指导下PFO介入封堵术。术中,在ICE的实时引导下,传送鞘管顺利进入右心房,明确PFO的位置后导丝成功通过未闭卵圆孔进入左房,之后顺利植入封堵器,ICE实时确认封堵术释放位置良好,封堵效果极佳,手术时间不到半小时,患者恢复良好,目前已经出院。

张军教授介绍说,PFO为心脏房间隔中部裂隙,大小 范围为1~19 mm,平均 4.9 mm,PFO 长度范围为 3~ 18 mm,平均 8 mm 。正常人左心房压力比右心房压力高 3~5 mmHg,PFO 处于关闭状态,而PFO原发隔为纤维样组织,薄且易摆动,继发隔为肌性组织,较厚。当长期或短暂右心房压力升高超过左心房压力时,左侧薄弱的原发隔被推开,PFO 开放,出现右向左分流。为指导经导管PFO封堵治疗,根据PFO解剖学特征,将 PFO 分为简单型和复杂型,复杂型PFO多合并有房间隔膨出瘤(ASA)、Eustachian 瓣和Chiari网、继发隔肥厚等,与脑血管事件的发生和复发密切相关。鉴于PFO症状的多样性, 为明确PFO与症状的关联、制定并开展个性化治疗方案、评估预后并指导随访,医院建立PFO专病门诊,以及多学科诊疗门诊(MDT)。

与常规经胸超声相比,ICE 具有更高的图像分辨率,依靠其探头的灵活性,可从多个切面对房间隔成像,有助于精确测量卵圆窝的直径、房间隔的长度、PFO隧道长或宽、 隧道入口及出口直径;同时可以观察 PFO 患者心 房水平的分流情况,明确有无过长的 Eustachian 瓣 或Chiari网、ASA、双层隔等特殊的复杂结构。介入封堵术中,ICE 能实时监测并指导手术过程,帮助术者精准确定 PFO 的位置,全程直视下释放封堵器,评 价封堵器的形状、位置和稳定性。同时,可通过注 射生理盐水和(或)彩色多普勒检查来确认有无残 余分流。在 TTE 声窗差、不耐受 TEE、解剖特征复 杂型 PFO、PFO 封堵术后残余漏二次介入的患者 中,ICE引导或辅助下进行 PFO封堵术能明显提高手术成功率。ICE的另一优势是可减少术中X线暴 露时间,有效降低对患者(特别是肥胖者)和术者的 辐射危害。
随着ICE引导下PFO封堵技术的开展,标志着医院结构心脏病,尤其在复杂PFO的介入能力有了明显提升,大大提高了介入操作的安全性、精准性和成功率;同时也为PFO患者提供一种新的诊治思路,结构性心脏病介入治疗迈向更微创、更安全、更有效的新篇章,未来我们将不断提升自身的业务水平、不断引进新医疗技术,紧跟全国医疗水平,为患者提供更加精准和个性化的治疗方案。

 冀公网安备 13090302000146号
冀公网安备 13090302000146号